Skip to content
Search
Search
Sign In
Subscribe
Trauma UE
Trauma LE
Spine
Joints
Pediatrics
Sports
Hand
Authors
About
Spine
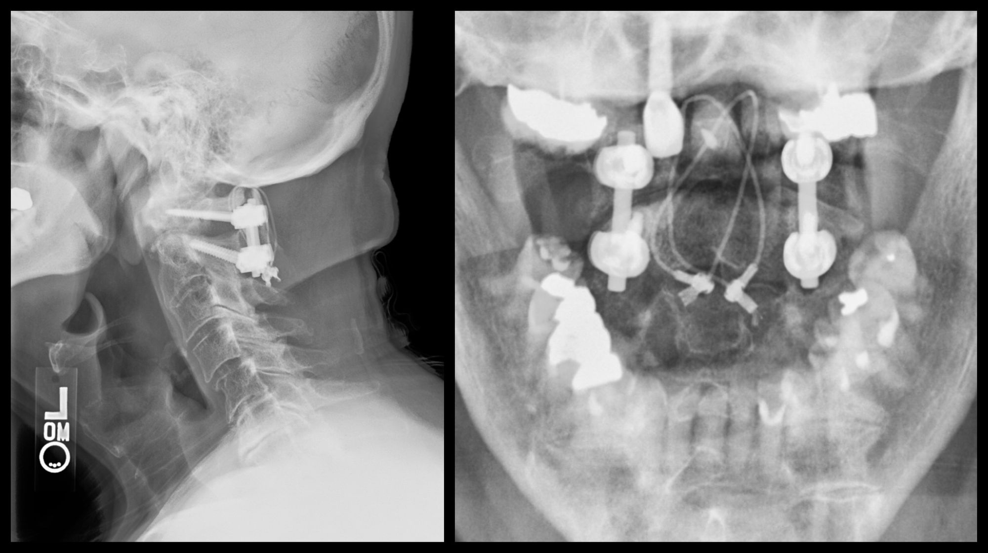
C1-2 Fusion
,
and
Darrel Brodke
May 31, 2021
Related
Spine
Cervical Disc Replacement
,
and
Darrel Brodke
April 15, 2021
Spine
L5-S1 Microdiscectomy
,
and
Darrel Brodke
January 18, 2021
Spine
L3-4 TLIF
,
and
Darrel Brodke
October 23, 2020
Spine
L5-S1 Anterior lumbar interbody fusion
,
and
Darrel Brodke
October 16, 2020