Step-by-step technique videos in orthopaedic surgery
Videos
Authors
About
Loading video...
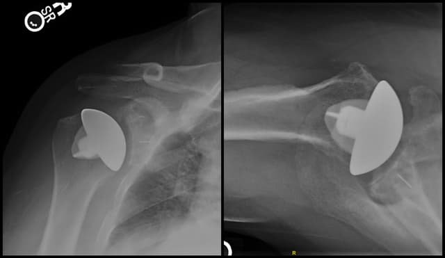
Anatomic Total Shoulder Arthroplasty
Edward Cheung
·
UCLA
·
December 13, 2022
·
0
Sports
Imaging
Pre-op
Post-op
Related
ACL Reconstruction (BTB autograft)
Edward Cheung
Reverse Shoulder Arthroplasty (patient-specific guide)
Edward Cheung
Glenoid Reconstruction with Allograft
Edward Cheung