Step-by-step technique videos in orthopaedic surgery
Videos
Authors
About
Loading video...
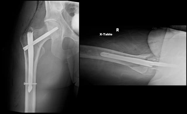
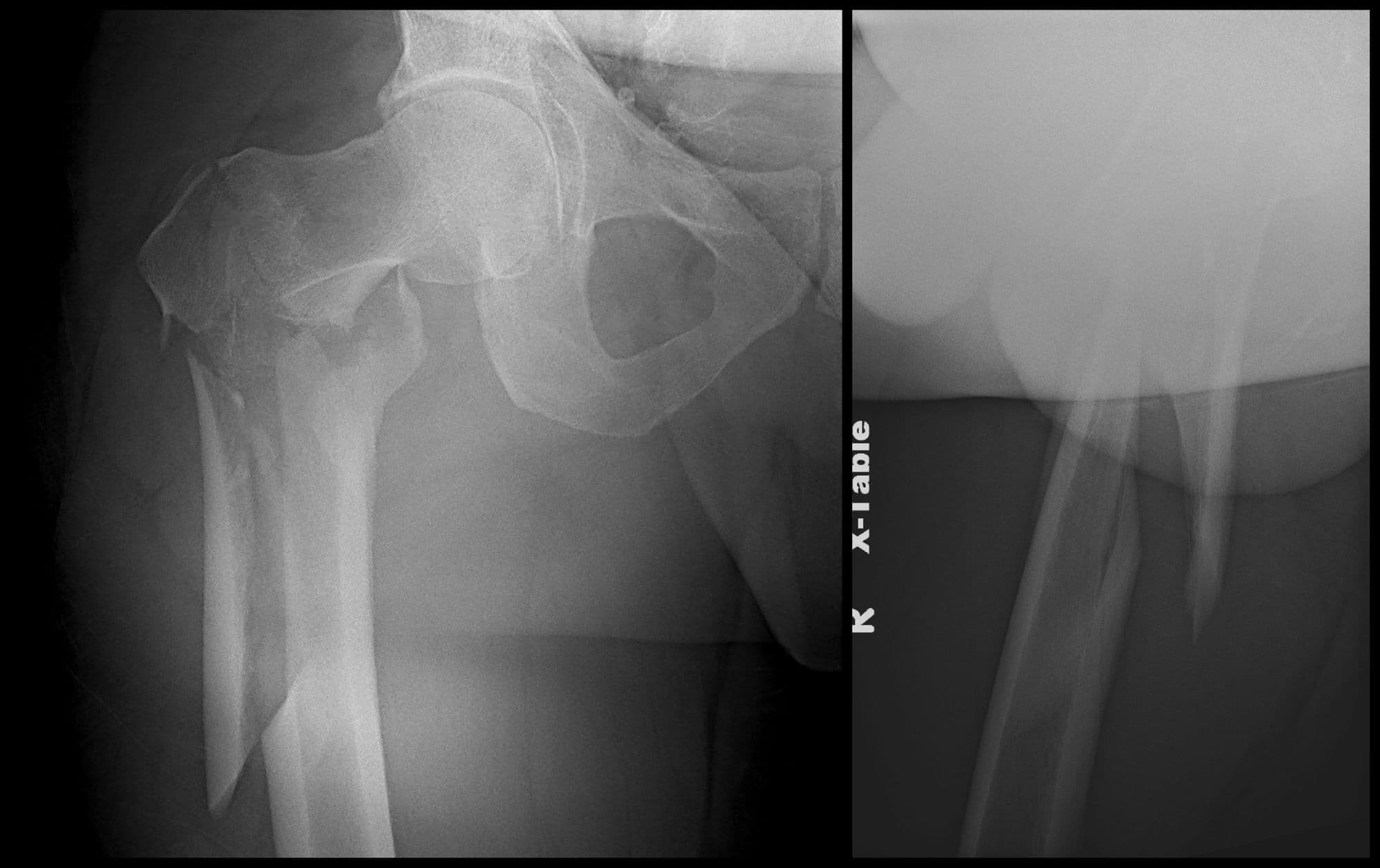
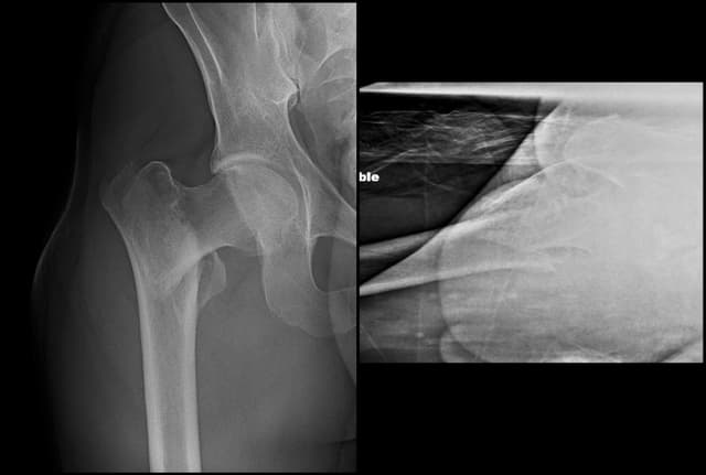
Intertrochanteric Fracture Short Nail
Christopher Lee
·
UCLA
·
March 23, 2023
·
0
Trauma LE
Imaging
Pre-op
Post-op
Related
Pelvic Ring Fixation
Christopher Lee
Subtrochanteric Femur ORIF
Christopher Lee
Patella ORIF
Christopher Lee