Step-by-step technique videos in orthopaedic surgery
Videos
Authors
About
Loading video...
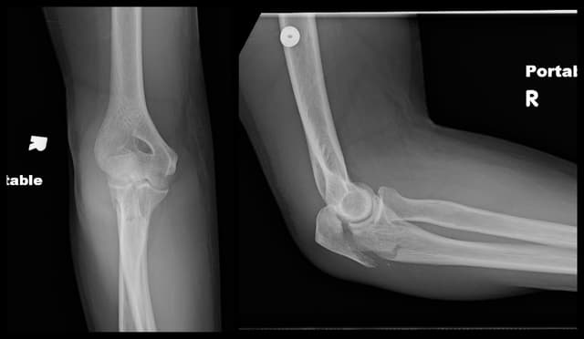
Olecranon ORIF
Christopher Lee
·
UCLA
·
December 18, 2020
·
0
Trauma UE
Imaging
Pre-op
Post-op
Related
Intra-articular Distal Humerus ORIF
Christopher Lee
Segmental Humerus ORIF
Christopher Lee
Olecranon and Radial Head ORIF
Christopher Lee