Step-by-step technique videos in orthopaedic surgery
Videos
Authors
About
Loading video...
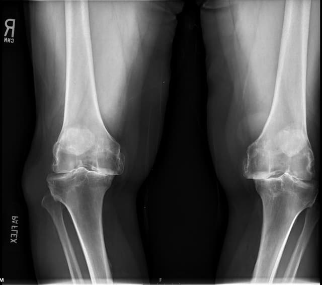
Total Knee Arthroplasty (Cementless, Robotic-assisted)
D. Gordon Allan
,
James Lieber
·
Southern Illinois University
·
April 17, 2023
·
0
Joints
Imaging
Pre-op
Post-op
Related
Total Hip Arthroplasty (Anterior)
John Horberg, James Lieber
Periprosthetic Femur Fracture ORIF, Stem Revision
Adam Sassoon
Total Hip Arthroplasty (Posterior)
Adam Sassoon