Step-by-step technique videos in orthopaedic surgery
Videos
Authors
About
Loading video...
Unicompartmental Knee Arthroplasty
Adam Sassoon
·
UCLA
·
March 14, 2021
·
0
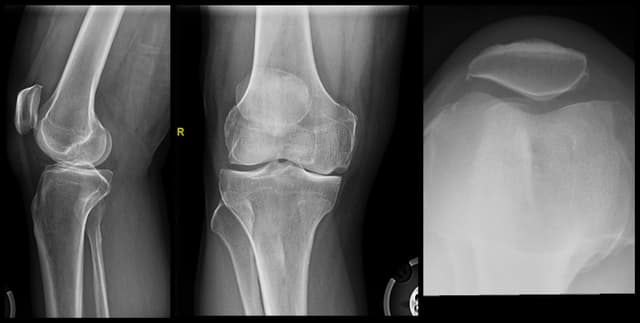
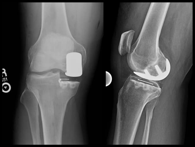
Joints
Imaging
Pre-op
Post-op
Related
Periprosthetic Femur Fracture ORIF, Stem Revision
Adam Sassoon
Total Hip Arthroplasty (Posterior)
Adam Sassoon
Patellofemoral Arthroplasty
Adam Sassoon