Skip to content
Search
Search
Sign In
Subscribe
Trauma UE
Trauma LE
Spine
Joints
Pediatrics
Sports
Hand
Authors
About
Trauma UE
—
Upper Extremity
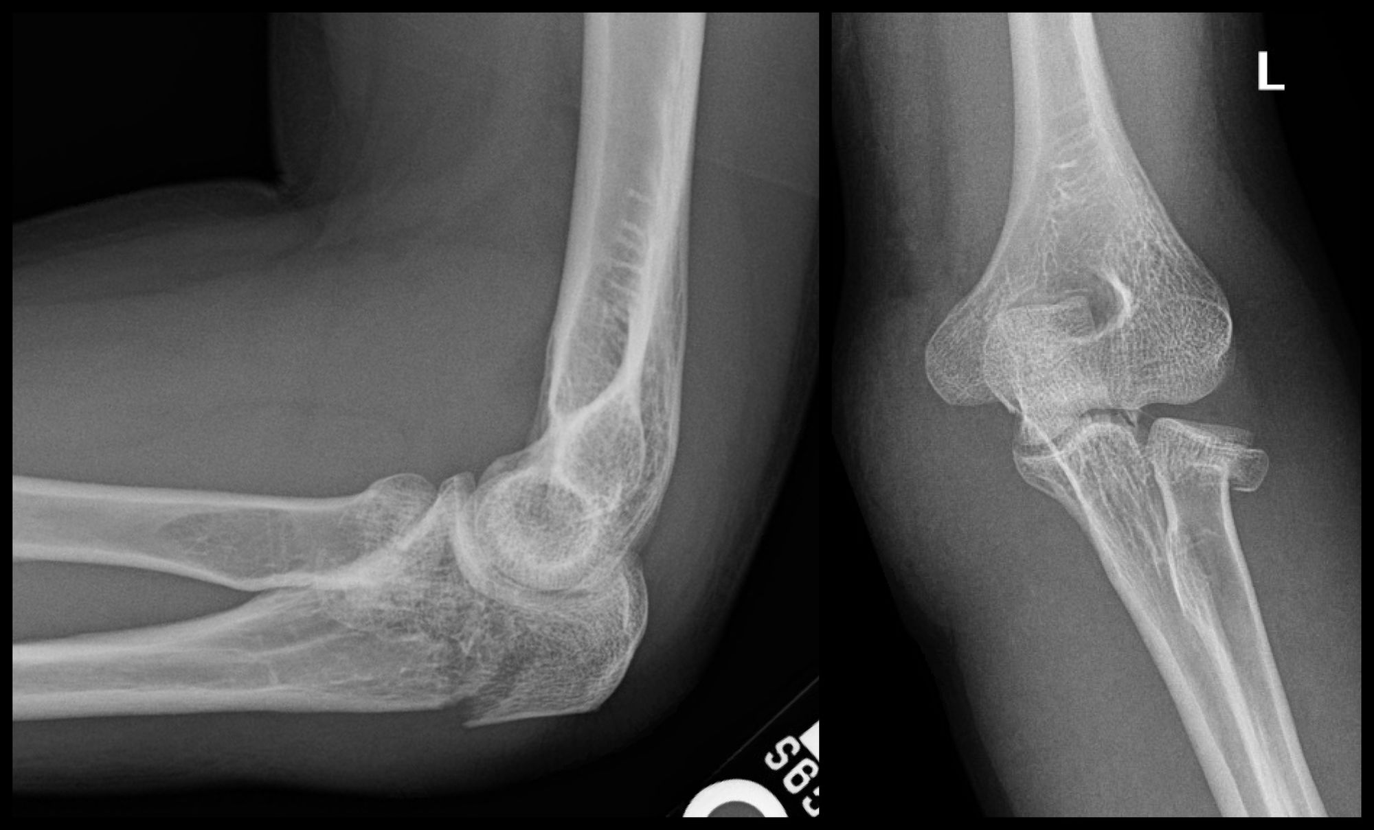
Olecranon and Radial Head ORIF
,
and
Christopher Lee
December 12, 2021
Related
Trauma UE
Intra-articular Distal Humerus ORIF
,
and
Christopher Lee
April 3, 2023
Sports
Glenoid Reconstruction with Allograft
,
and
Edward Cheung
September 8, 2022
Trauma UE
Segmental Humerus ORIF
,
and
Christopher Lee
February 9, 2022
Trauma UE
Proximal Humerus ORIF
,
and
Christopher Lee
March 22, 2021