Skip to content
Search
Search
Sign In
Subscribe
Trauma UE
Trauma LE
Spine
Joints
Pediatrics
Sports
Hand
Authors
About
Upper Extremity
Trauma UE
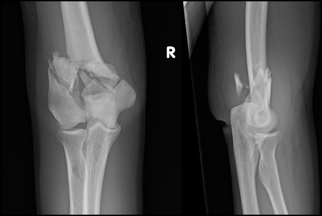
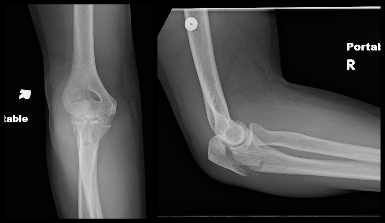
Intra-articular Distal Humerus ORIF
,
and
Christopher Lee
April 3, 2023
Sports
Reverse Shoulder Arthroplasty (patient-specific guide)
,
and
Edward Cheung
December 27, 2022
Sports
Anatomic Total Shoulder Arthroplasty
,
and
Edward Cheung
December 12, 2022
Sports
Glenoid Reconstruction with Allograft
,
and
Edward Cheung
September 8, 2022
Trauma UE
Segmental Humerus ORIF
,
and
Christopher Lee
February 9, 2022
Sports
Distal Biceps Repair
,
and
Edward Cheung
January 5, 2022
Trauma UE
Olecranon and Radial Head ORIF
,
and
Christopher Lee
December 12, 2021
Sports
Pectoralis Major Repair
,
and
Edward Cheung
November 25, 2021
Sports
Latarjet Procedure
,
and
Edward Cheung
August 3, 2021
Trauma UE
Proximal Humerus ORIF
,
and
Christopher Lee
March 22, 2021
Trauma UE
Clavicle ORIF
,
and
Christopher Lee
February 27, 2021
Trauma UE
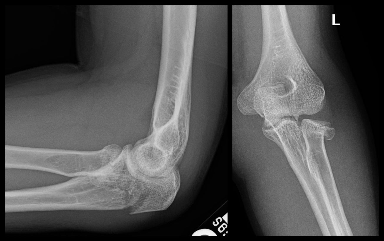
Olecranon ORIF
,
and
Christopher Lee
December 17, 2020
Trauma UE
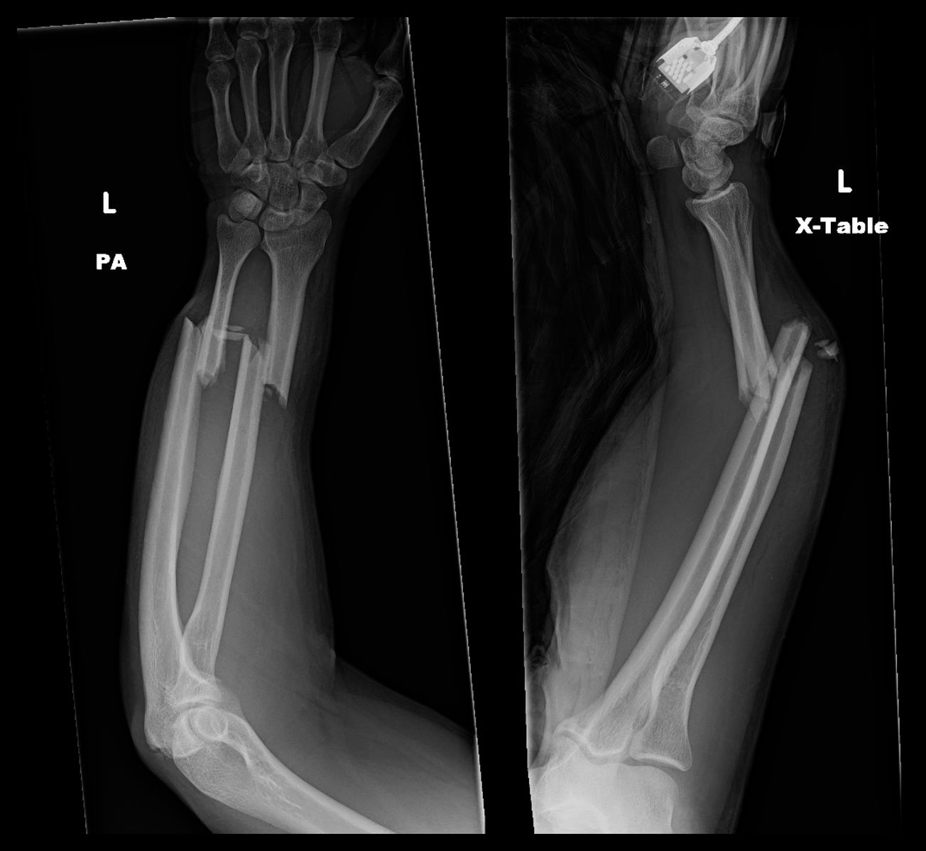
Radius/ulna shaft (both bone forearm) ORIF
,
and
Christopher Lee
September 24, 2020
Pediatrics
Supracondylar humerus CRPP
,
and
Mauricio Silva
September 5, 2020
Hand
Cubital Tunnel Release
,
and
Adil Esmail
September 1, 2020
Hand
Carpal Tunnel Release
,
and
Adil Esmail
September 1, 2020
Load More