Skip to content
Search
Search
Sign In
Subscribe
Trauma UE
Trauma LE
Spine
Joints
Pediatrics
Sports
Hand
Authors
About
Trauma LE
Trauma LE
Intertrochanteric Fracture Short Nail
,
and
Christopher Lee
March 23, 2023
Trauma LE
Below Knee Amputation
,
and
Steven Zeitzew
November 14, 2022
Joints
Periprosthetic Femur Fracture ORIF, Stem Revision
,
and
Adam Sassoon
May 8, 2022
Trauma LE
Anterior Column Acetabulum ORIF
,
and
David Rothberg
April 16, 2022
Trauma LE
Above Knee Amputation
,
and
Steven Zeitzew
March 14, 2022
Trauma LE
Pelvic Ring Fixation
,
and
Christopher Lee
October 13, 2021
Trauma LE
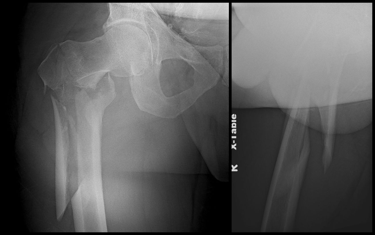
Subtrochanteric Femur ORIF
,
and
Christopher Lee
September 6, 2021
Trauma LE
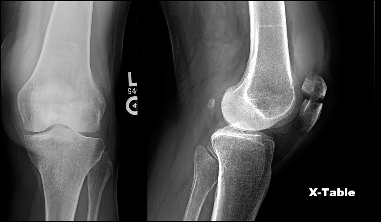
Patella ORIF
,
and
Christopher Lee
July 29, 2021
Trauma LE
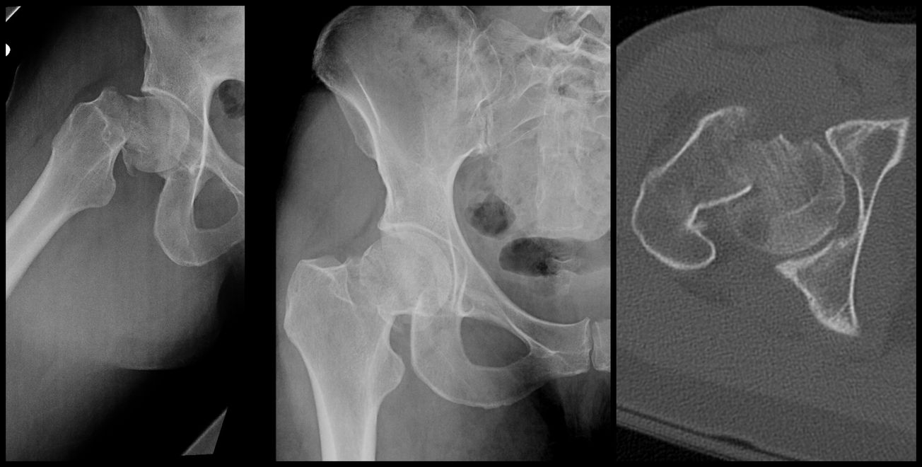
Femoral Neck ORIF
,
and
Christopher Lee
July 6, 2021
Trauma LE
Tibial Plateau ORIF
,
and
Christopher Lee
February 15, 2021
Trauma LE
Posterior Sacroiliac Joint Fixation
,
and
David Rothberg
January 27, 2021
Trauma LE
Posterior Wall Acetabulum ORIF
,
and
David Rothberg
July 23, 2020
Trauma LE
Distal Femur ORIF
,
and
Christopher Lee
July 2, 2020
Trauma LE
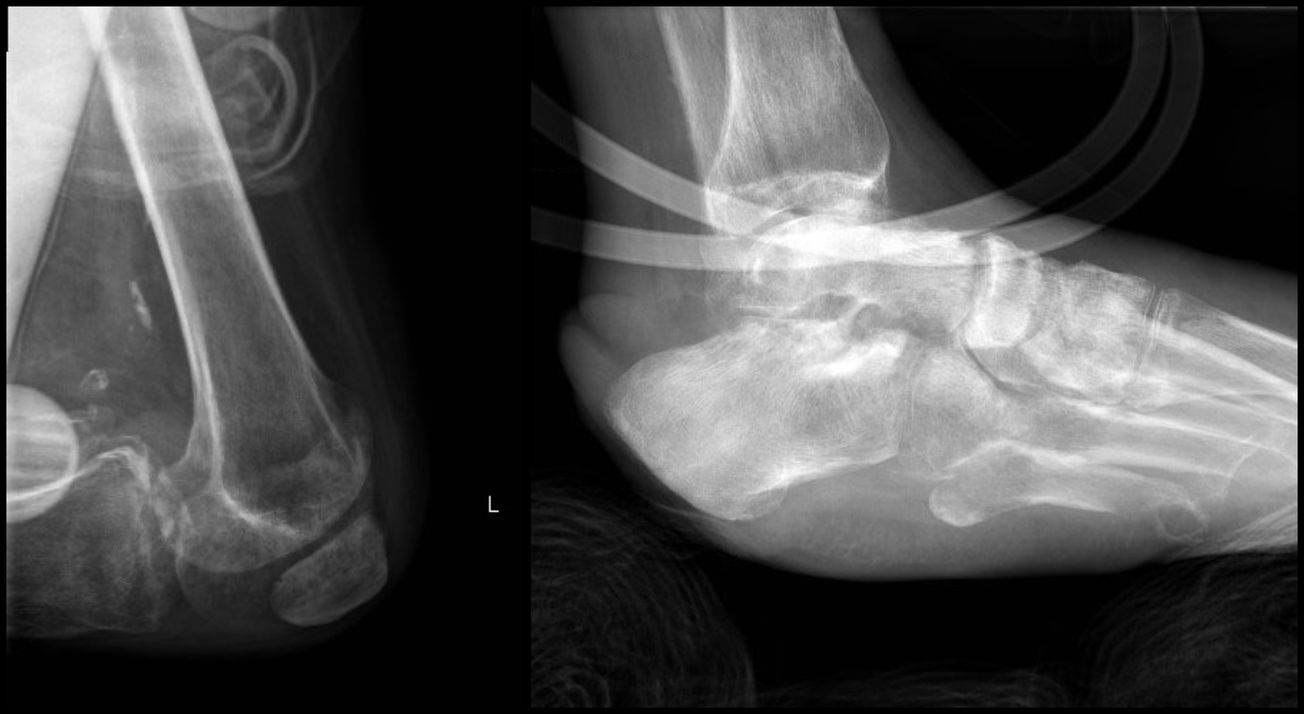
Ankle ORIF
,
and
Christopher Lee
June 22, 2020
Trauma LE
Distal Tibia IMN
,
and
Christopher Lee
May 25, 2020
Trauma LE
Proximal Tibia IMN
,
and
Christopher Lee
May 13, 2020