Step-by-step technique videos in orthopaedic surgery
Videos
Authors
About
Loading video...
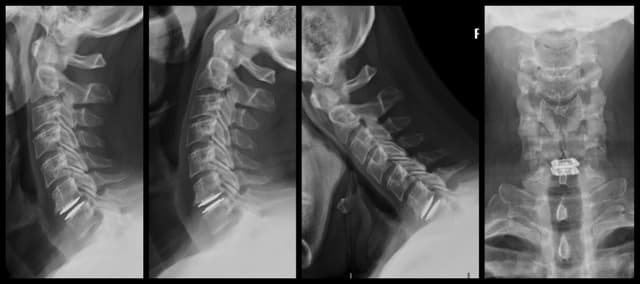
Cervical Disc Replacement
Darrel Brodke
·
University of Utah
·
April 15, 2021
·
0
Spine
Imaging
Pre-op
Post-op
Related
C1-2 Fusion
Darrel Brodke
L5-S1 Microdiscectomy
Darrel Brodke
L3-4 TLIF
Darrel Brodke