Step-by-step technique videos in orthopaedic surgery
Videos
Authors
About
Loading video...
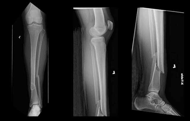
Distal Tibia IMN
Christopher Lee
·
UCLA
·
May 26, 2020
·
0
Trauma LE
Imaging
Pre-op
Post-op
Related
Intertrochanteric Fracture Short Nail
Christopher Lee
Pelvic Ring Fixation
Christopher Lee
Subtrochanteric Femur ORIF
Christopher Lee