Step-by-step technique videos in orthopaedic surgery
Videos
Authors
About
Loading video...
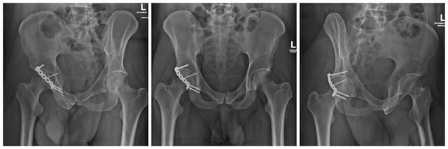
Posterior Wall Acetabulum ORIF
David Rothberg
·
University of Utah
·
July 24, 2020
·
0
Trauma LE
Imaging
Pre-op
Post-op
Related
Anterior Column Acetabulum ORIF
David Rothberg
Posterior Sacroiliac Joint Fixation
David Rothberg
Intertrochanteric Fracture Short Nail
Christopher Lee