Step-by-step technique videos in orthopaedic surgery
Videos
Authors
About
Loading video...
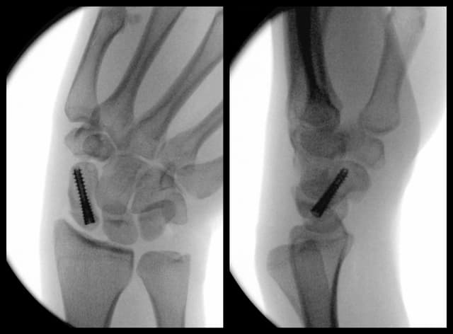
Scaphoid Fracture Fixation
David Chen
,
Omar Nazir
,
Adam Mirarchi
·
Oregon Health & Science University
·
December 14, 2025
·
0
Trauma UE
Hand
Imaging
Pre-op
Post-op
Related
Intra-articular Distal Humerus ORIF
Christopher Lee
Glenoid Reconstruction with Allograft
Edward Cheung
Segmental Humerus ORIF
Christopher Lee