Step-by-step technique videos in orthopaedic surgery
Videos
Authors
About
Loading video...
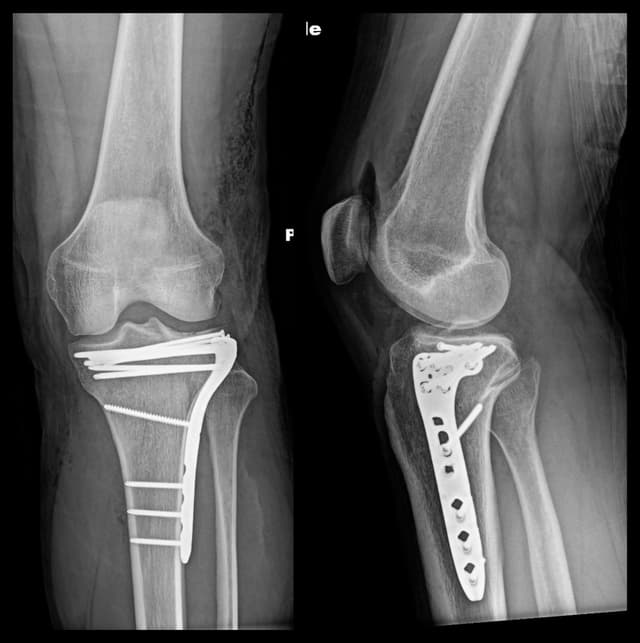
Tibial Plateau ORIF
Christopher Lee
·
UCLA
·
February 16, 2021
·
0
Trauma LE
Imaging
Pre-op
Post-op
Related
Intertrochanteric Fracture Short Nail
Christopher Lee
Pelvic Ring Fixation
Christopher Lee
Subtrochanteric Femur ORIF
Christopher Lee